Welcome to our Interactive Smile Gallery! To view our before and afters, simply click and hold the arrows in the middle of an image, and drag to reveal the transformation!

Burke Dental | Preventative Program, iTero® Element Intraoral Scanner  and Teeth Whitening Burke Dental | Sleep Apnea, Emergency Treatment and Sports Mouthguards

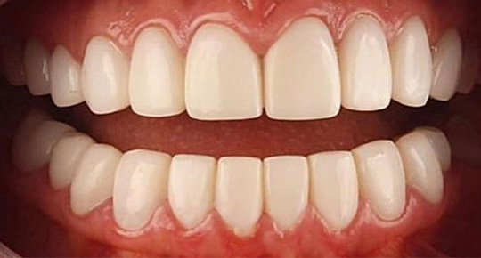
Dental Veneers

Dr. Ghanavati performed full mouth Veneers with which he was able to create symmetry, fix and shape teeth, and whiten this 35-year-old female’s beautiful smile!
Burke Dental | Sedation Dentistry, Night Guards and Invisalign® Burke Dental | Veneers, Digital Radiography and Bone Grafts

Full Mouth Dental Implants

Mike struggled with his failing dental work for years before meeting Dr. Ghanavati at Burke Dental. He had every type of dental bridge and partial denture in the past few years. Dr. Ghanavati was able to give him a permanent smile by utilizing dental implants. Mike’s life transformed after the treatment at Burke Dental by Dr. Ghanavati!
Burke Dental | Cosmetic Dentistry, Fluoride Treatment and TMJ Disorders Burke Dental | Pediatric Dentistry, Laser Dentistry and ClearCorrect®

Gum Grafting

This patient suffered from gum recession and teeth sensitivity before meeting Dr. Ghanavati at Burke Dental. She was not happy with the teeth sensitivity and pain. Dr. Ghanavati was able to give her a new smile with gum grafting in just one appointment at Burke Dental in Burke, VA.
Burke Dental | Dental Cleanings, Inlays & Onlays and Teeth Whitening Burke Dental | CBCT, Laser Dentistry and Full Mouth Reconstruction

Crowns To Porcelain Veneers

Cindy suffered from failing old dental crowns before meeting Dr. Ghanavati at Burke Dental. She was not happy with the shape and looks of her crowns. Dr. Ghanavati was able to give her a new smile with cosmetic crowns in just two appointments at Burke Dental in Burke, VA.
Burke Dental | Inlays & Onlays, Intraoral Camera and Cosmetic Smile Makeover Burke Dental | CBCT, Pediatric Dentistry and Dentures

Dental Implants

Mary struggled with her failing dental work for years before meeting Dr. Ghanavati at Burke Dental. She had every type of dental bridge in the past few years. Mary was frustrated with her teeth coming out and having to constantly get them temporarily glued back in each time. Dr. Ghanavati was able to give her a permanent smile by utilizing dental implants. Mary’s life transformed after the treatment at Burke Dental by Dr. Ghanavati!
Burke Dental | Dental Bridges, iTero® Element Intraoral Scanner  and Dental Cleanings Burke Dental | Night Guards, Full Mouth Reconstruction and Emergency Treatment

Cosmetic Crowns

Linda suffered from gapping and failing old dental work before meeting Dr. Ghanavati at Burke Dental. She was not happy with the gap and shape of her teeth. Dr. Ghanavati was able to give her a new smile with cosmetic crowns in just two appointments at Burke Dental in Burke, VA!
Burke Dental | Wisdom Teeth, Bone Grafts and Oral Cancer Screening Burke Dental | Dental Fillings, Invisalign® and Digital Impressions

Gum Recession Treatment

This young lady suffered from gum recession and teeth sensitivity before she met Dr. Ghanavati at Burke Dental. She was not happy with her teeth sensitivity for years. Dr. Ghanavati was able to give her a new smile with gum grafting in just one appointment at Burke Dental in Burke, VA.
Burke Dental | Veneers, Digital Radiography and Bone Grafts Burke Dental | Night Guards, Digital Impressions and Extractions

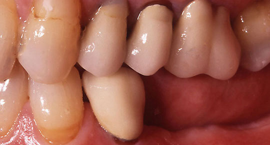
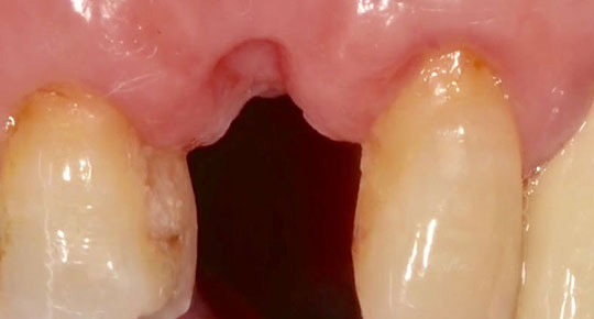
Dental Implant

Dr. Ghanavati was able to perform a dental implant bridge with which he was able to replace the missing teeth and fix the big gap in his 30-year-old patient!
Burke Dental | Emergency Treatment, Oral Exams and Root Canals Burke Dental | Sports Mouthguards, Dental Fillings and Wisdom Teeth

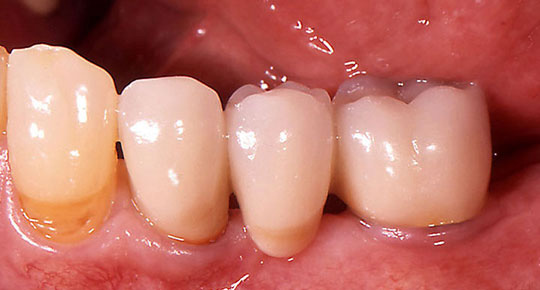
Single Dental Implant

Jennifer suffered from a front tooth fracture. She had many bad past experiences at the dentist which led her to have even more dental troubles. After fixing and replacing the missing tooth with a dental implant, she now has all her dental needs taken care of with us at Burke Dental. Just look at her beautiful and natural looking dental implant.
Burke Dental | Root Canals, Digital Impressions and Sleep Apnea Burke Dental | Root Canals, Sedation Dentistry and Invisalign®

Dental Implants With Cosmetic Crown

Veronica struggled with her failing dental work for years before meeting Dr. Ghanavati at Burke Dental. She had every type of dental bridge in the past few years. She no longer wanted to continue having her dental bridge temporarily glued back in each time. Dr. Ghanavati was able to give her a permanent smile by utilizing dental implants. Veronica’s life transformed after the treatment at Burke Dental by Dr. Ghanavati!